Mnogi ljudi su se pitali zašto Falun Dafa ima tako čudesnu iscjeliteljsku moć. Gospodin Li Hongzhi, osnivač prakse, jasno je objasnio razlog u svom učenju sa stanovišta kineske medicine, zapadne medicine i pročišćavanja fizičkog tijela.
Kako bih čitateljima pomogao u razumijevanju ovih koncepata, želio bih predstaviti neka relevantna znanstvena otkrića.
Sustav samopoboljšanja
O povezanosti uma i tijela mnogo je puta je izvještavano u znanstvenim časopisima. U izdanju Proceedings of the National Academy of Sciences (PNAS) iz studenog 2004., na primjer, znanstvenici sa Sveučilišta Wisconsin izvijestili su da „mentalni trening uključuje privremene integrativne mehanizme i može izazvati kratkoročne i dugoročne neuronske promjene“. Točnije, gama valovi povezani s višim moždanim funkcijama poput spoznaje i pamćenja su aktivniji u meditativnom stanju.
Takav je nalaz u skladu s tradicionalnom kineskom teorijom, kao i suvremenim znanostima. Otkrića posljednjih desetljeća pokazala su da ljudsko zdravlje uključuje višestruke elemente na više razina. Zapravo, predložen je novi model koji će uključivati međudjelovanje biologije, psihologije, sociologije i uma. Odnosno, snažan, zdrav duh će imati pozitivan utjecaj na nečije psihološko stanje i društveno ponašanje, što će, zauzvrat, prirodno dovesti do dobrog tjelesnog zdravlja.
Takvo je razumijevanje u skladu s tradicionalnim kineskim medicinskim teorijama i pravim metodama kultiviranja uma i tijela poput Falun Dafa, poznatog i kao Falun Gong. S naglaskom na mentalnu prirodu, Falun Dafa uči praktikante da nastoje živjeti prema načelima Istinitosti, Dobrodušnosti, i Tolerancije i postati bolja osoba. U međuvremenu, praktikanti rade vježbe - četiri vježbe stajanja i sjedeću meditaciju - koje transformiraju fizičko tijelo.
Prema Falun Dafa učenjima, praksa nema za cilj poboljšati zdravlje samo po sebi. Umjesto toga, vodi praktikante prema poboljšanju njihovog moralnog karaktera i postizanju nove razine sklada između uma i tijela. Kako praktikanti poboljšavaju njihov karakter, tako će se i njihovo zdravlje prirodno poboljšavati.
Do određene mjere, Falun Dafa se može shvatiti kao sustav za brigu o sebi ili samopoboljšanje. Čitajući njezino učenje i redovito izvodeći vježbe, praktikanti bolje razumiju svrhu života i mogu lako shvatiti stvari koje su im prije smetale. Također su sposobni osloboditi se negativnih misli i loših navika. Smirenijeg uma, oni s tjeskobom i depresijom također lakše upravljaju svojim simptomima. Ovi pozitivni učinci prirodno vode do boljeg tjelesnog i mentalnog zdravlja i jačanju imuniteta protiv bolesti.
Dokazi na staničnoj i molekularnoj razini
Ljudska krv uključuje crvena krvna zrnca i bijela krvna zrnca. Prva nose kisik, a druga štite tijelo od bolesti i oboljenja. Do 70% bijelih krvnih stanica su neutrofili, koji su ključni igrači urođenog imunološkog sustava koji se bore protiv stvari kao što su upale.
Neutrofili su kratkog vijeka. Životni vijek im je samo oko 7 sati u krvi, a žive samo dva ili tri sata izvan tijela. Kao rezultat toga, ljudsko tijelo proizvodi 50 do 100 milijardi neutrofila dnevno kako bi se kompenzirali mrtve neutrofili.

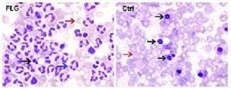
Gornja slika prikazuje neutrofile izolirane iz uzoraka krvi koji su držani izvan tijela 16 sati. Slika s lijeve strane bila je od Falun Dafa praktikanta, gdje je većina neutrofila bila živa i zdrava (prikazano plavom strelicom). Slika s desne strane bila je od zdravog dobrovoljca, čija je većina neutrofila bila mrtva (prikazano crnom strelicom). Crvene strelice označavaju crvena krvna zrnca.
Znanstvenici s Baylor College of Medicine također su 2005. godine objavili članak u Journal of Alternative and Complementary Medicine. Naslov članka bio je „Genomsko profiliranje transkripata neutrofila kod azijskih Qigong praktikanata: Pilot studija o regulaciji gena interakcijom uma i tijela“. Ova studija pokazuje da su u usporedbi sa zdravom kontrolnom grupom, praktikanti Falun Dafa imali ekspresiju gena koja je ukazivala na pojačan imunitet i brzo otklanjanje upale. Točnije, neutrofili praktikanata su snažniji u obrani tijela i imaju produženi životni vijek. Odnosno, praktikantima je potrebno samo 20% ili 30% neutrofila normalno zdrave osobe kako bi postigli isti imunološki učinak.
„Poboljšanje imuniteta praksom uma i tijela može biti korisno, ali imunološki odgovor je mač s dvije oštrice, a aktivacija imunološkog sustava mogla bi biti štetna za domaćina kada je imunološki odgovor održiv“, napisali su autori. Zapravo, ovo istraživanje pokazuje „da regulacija posredovana umom i tijelom može predstavljati ravnotežu unutar... što rezultira ograničenjem samoozljeđivanja.“
Energetsko polje
Druga biološka istraživanja pokazala su slične rezultate. Grupa znanstvenika u Sjevernoj Americi otkrila je da je mjesto za grupno vježbanje Falun Dafa povećalo kontraktilnu napetost izoliranih kardiomiocita za 35-111%. To ukazuje da postoji nepoznato energetsko polje koje poboljšava imunološku reakciju.
65. godišnja konferencija Međunarodnog vijeća psihologa (ICP) održana je u San Diegu u kolovozu 2007. Psiholozi iz cijelog svijeta podijelili su svoje rezultate o odnosu mentalnog zdravlja i okoliša. Opseg istraživanja bio je promicanje multikulturalnih odnosa, mira među etničkim skupinama, kao i zdravlja.
Projekt pod nazivom „Studija na staničnoj razini o psihološkim i fizičkim iscjeliteljskim učincima Falun Dafa meditacije“ raspravljao je o prednostima Falun Dafa na staničnoj, psihološkoj i energetskoj razini. Prednosti su uključivale smanjenje mentalnog stresa praktikanta, poboljšanje njihovog mentalnog i fizičkog zdravlja, liječenje bolesti, poboljšanje karaktera i razvoj ljudskih potencijala i inteligencije.
U jednom posebnom eksperimentu, snimljena je bio-energetska fotografija prstiju jednog praktikanta prije i nakon jednosatne meditacije. Fotografija je snimljena uobičajenim visokim naponom i visokom frekvencijom i pokazala je da prakticiranje Falun Dafa jača ljudsko energetsko polje i poboljšava cirkulaciju energije u ljudskom tijelu.
Eksperiment je pokazao da se bio-energija u prstima praktikanata značajno povećala nakon sat vremena meditacije, što je pokazano boljom perifernom cirkulacijom. Budući da je 10 prstiju povezalo periferne meridijane i akupunkturne točke, ovaj je eksperiment pokazao da praksa otvara tjelesne meridijane i povećava životnu energiju. Rezultati pružaju znanstvene dokaze o zdravstvenim prednostima Falun Dafa kroz energetsku medicinu i kinesku medicinu.
Predstavljen javnosti 1992. godine, Falun Dafa prakticira oko 100 milijuna ljudi u više od 100 zemalja. Temelji se na načelima Istinitosti-Dobrodušnosti-Tolerancije i sastoji se od pet vježbi koje je lako naučiti.
